DİŞ ETİ ÇEKİLMESİ SORUNU DİŞ KAYBI İLE SONUÇLANABİLİR!
Diş eti çekilmesinin, diş köklerinin açığa çıkması durumu olduğunu belirten uzmanlar, bu durumun zamanla kemik kaybına yol açabileceğini söylüyor. Yanlış diş fırçalama, diş sıkma ve kötü ağız hijyeni gibi faktörlerin diş eti çekilmesini tetikleyebileceğine dikkat çeken Periodontoloji Uzmanı Dr. Öğr. Üyesi Kübra Karaduran, "Diş eti çekilmesi tedavi edilmediğinde ve dişleri çevreleyen sert dokunun tamamen ortadan kalktığı durumlarda süreç dişin kaybı ile sonuçlanabilir." dedi. Erken aşamada fark edilen diş eti çekilmelerinin, düzenli bakım ve uygun tedavi yöntemleriyle durdurulabileceğini ifade eden Karaduran, ileri düzey vakalarda ise diş eti nakli gibi cerrahi tedaviler uygulanarak başarılı sonuçlar elde edilebileceğini aktardı.

Üsküdar Diş Hastanesi Periodontoloji Uzmanı Dr. Öğr. Üyesi Kübra Karaduran,
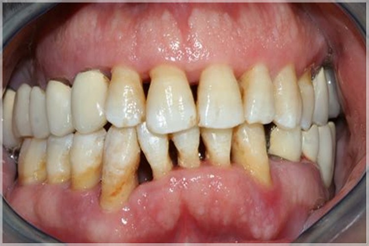
Dişin kök kısmının açığa çıkması dişi çevreleyen kemik yapısının kaybına neden olabilir
Diş eti çekilmesinin, diş eti kenarının kök yüzeyine doğru geri çekilmesi durumuna denildiğini ifade eden Dr. Öğr. Üyesi Kübra Karaduran, “Bu durum diş kökünün açığa çıkmasına neden olur. Diş eti çekilmesine neden olan faktörler arasında; diş pozisyon bozuklukları, yanlış teknikle veya sert diş fırçalama, diş sıkma, kötü ağız hijyeni ve diş eti hastalıkları yer alır.” dedi.
Diş eti çekilmesi ile dişin kök kısmının açığa çıkmasının bu bölgede bakteri birikimini kolaylaştırdığına dikkat çeken Karaduran, “Zamanla, bakteri plağı ve diş taşı birikimi sonucu oluşan diş eti hastalığı nedeniyle dişi çevreleyen kemik yapısı etkilenir, kemik kaybı yaşanabilir ve dişlerin destek yapısı zayıflar. Diş eti çekilmesi tedavi edilmediğinde ve dişleri çevreleyen sert dokunun tamamen ortadan kalktığı durumlarda süreç dişin kaybı ile sonuçlanabilir.” şeklinde konuştu.
Erken aşamalarda doğru tedavi yaklaşımı ile diş eti çekilmesinin ilerlemesi durdurulabilir!
Diş eti çekilmesinin erken belirtilerine değinen Dr. Öğr. Üyesi Kübra Karaduran, “Diş etinde kanama şikayeti, diş etinde şişlik, kızarıklık veya hassasiyet olması, ağızda kötü tat veya kötü nefes varlığı ve dişlerde hassasiyet şikayeti diş eti çekilmesi belirtisi olabilir.” dedi.
Diş eti çekilmesinin erken aşamalarda, konservatif yöntemlerle tedavi edilebileceğini vurgulayan Karaduran, sözlerini şöyle sürdürdü:
“Diş taşı temizliği tedavisi ile plak ve diş taşı birikintileri uzaklaştırılır. Tedavi sonrasında doğru diş fırçalama ve diş ipi kullanımı konusunda hastaya bilgilendirme yapılır ve bu diş etlerinin sağlığını korumasında yardımcı olur. Eğer diş etinde enfeksiyon durumu var ise antibiyotik tedavisi uygulanabilir. Erken aşamalarda doğru tedavi yaklaşımı ile diş eti çekilmesinin ilerlemesi durdurulabilir, ancak ileri düzey dişeti çekilmeleri olan durumlarda cerrahi tedavilere ihtiyaç duyulabilir.”
İleri düzey diş eti çekilmelerinde cerrahi tedavilerin başarı oranı yüksek…
İleri düzey diş eti çekilmelerinde, diş eti kenarının daha fazla geriye çekilmesini önlemek amacıyla, frenulumun uzaklaştırılması işlemi yapılabildiğini aktaran Dr. Öğr. Üyesi Kübra Karaduran, “İleri düzey diş eti çekilmesinde hastanın ağız içinde başka bir bölgeden sağlıklı diş eti dokusu alınarak diş eti çekilmesi olan bölgeye yerleştirilmesi ameliyatı yapılabilir. İleri düzey diş eti çekilmelerinde cerrahi tedavilerin başarı oranı yüksektir ancak hastanın genel sağlık durumu, tedaviye uyumu ve diş eti çekilmesinin boyutu gibi faktörlere bağlı olarak başarı oranı değişebilir.” açıklamasını yaptı.
Dişler yumuşak kıllı fırçalarla nazikçe fırçalanmalı…
Diş eti çekilmesinin bazı risk faktörleri tarafından tetiklenebildiğini dile getiren Dr. Öğr. Üyesi Kübra Karaduran, “Yetersiz diş fırçalama, yanlış teknikle veya sert diş fırçalama, diş ipi kullanmama, diş taşlarının birikmesi, ailede diş eti hastalığı geçmişi olması, sigara kullanımı, diş pozizyon bozuklukları, diş sıkma ve hormonel değişiklikler diş eti çekilmesine neden olabilen başlıca risk faktörleri arasında sayılabilir.” dedi.
Diş eti çekilmesi şikayeti olan bireylerin, sert kıllı diş fırçalarından kaçınması gerektiğinin altını çizen Karaduran, “Daha yumuşak kıllı diş fırçaları tercih edilmeli. Ayrıca, diş fırçalama sırasında çok sert fırçalamadan kaçınılmalı. Dişler, diş etlerine zarar vermeyecek şekilde nazikçe fırçalanmalı. Dişler arasındaki plağın temizlemesi için diş ipi kullanılmalı.” diyerek sözlerini tamamladı.
